General, Orthopaedic & Dental Vet Surgery in Trinity Beach
Orthopaedic
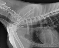
Orthopaedic surgery encompasses any surgery that is related to bones or joints. It includes procedures such as fracture repairs, ligament repairs and spinal surgery, to name a few. Our veterinarians’ high level of expertise and our practice’s fully equipped surgical suite allows us to perform certain orthopaedic surgical procedures that your pet may require.
These may include:
- Cranial cruciate ligament repair
- Fracture (broken bone) repair
- Amputations for severe injuries or bone cancer cases
- TPLO cruciate repair
Complicated orthopaedic cases, such as spinal surgery, will need to be referred to a specialist orthopaedic surgeon. Our vet surgery in Trinity Beach provides a safe, sterile environment where our veterinarians and vet nurses will assess each case individually and provide the best advice for you and your pet. Contact Marlin Coast Veterinary Hospital today to find out more about our surgical services.
Desexing
Desexing or neutering your pet is a surgical procedure that prevents them from being able to reproduce. In male pets, it is commonly referred to as “castration,” and in female pets, as “spaying.” This is the most frequent surgery performed by our vets, and generally, your pet is home by the evening of surgery.
The most common age to desex your pet is between five and six months; however, they are never too old to be desexed.
There are many benefits to desexing your pet around six months of age.
They include:
- Preventing unwanted litters, which can be very costly and may add to the already overwhelming number of stray animals that are put down each year.
- Prevention of testicular cancer and prostate disease in males and can help prevent pyometra (infection of the uterus) and mammary tumours (breast cancer) in females.
- Stopping the “heat” cycle in females.
- Decreasing aggression towards humans and other animals, especially in males.
- Being less prone to wander, especially in males.
- Living a longer and healthier life.
- Reduction of council registration fees.
Dental
Just like humans, our pets are vulnerable to gum disease and problems with their teeth. Alarmingly, 80% of dogs and 70% of cats suffer from some form of dental disease by the age of three.
When there is a build-up of bacteria, food particles and saliva on the teeth, plaque is formed. Plaque sticks to the tooth surface above and below the gum line and, if not removed, will calcify into tartar (also known as calculus). This appears as a yellow-brown material on the teeth. Over time the bacterial infection in tartar causes irreversible changes to occur.
These include the destruction of supportive tissues and bone, resulting in red gums, bad breath and loosening of teeth. This same bacterial infection is also a source of infection for the rest of the body (such as the kidney, liver and heart) and can make your pet seriously ill. Ultimately, dental disease results in many pets unnecessarily suffering tooth loss, gum infection and pain. It also has the potential to shorten your pet’s lifespan.
If we have diagnosed your pet with dental disease, we will most likely recommend a dental clean. This very common procedure is essential in treating dental disease.
What you need to know about the procedure:
< A general anaesthetic is required. To make sure we are able to clean all teeth and do it safely your pet must be anaesthetised so we can properly examine and clean the entire tooth.
< We use very similar equipment to human dentists. A scaling and polishing device is used to remove any plaque that is stuck to teeth, and individual polishing of each tooth.
< Extractions may be necessary. In some cases bacteria may have already damaged the structures of the tooth. This is painful and is best any diseased teeth are removed. Fractured teeth may also require extraction.
< We add a complimentary brush and blowout after every dental procedure so your best comes home looking their absolute best!
Frequently Asked Questions
Soft Tissue
Our veterinarians’ high level of expertise and our practice’s fully equipped surgical suite allows us to perform the vast majority of soft tissue surgical procedures that your pet may require. Soft tissue surgery encompasses any surgery that is not related to bones. It includes procedures such as
< desexing
< BOAS (Brachycephalic Obstructive Airway Syndrome),
< exploratory laparotomies,
< caesareans,
< lump removals,
<biopsies,
< wound stitch-ups
< removal of intestinal foreign bodies
The list is endless!
Please make an appointment to visit one of our veterinarians to discuss any soft tissues surgery your pet may require.
Ophthalmic
Ophthalmic surgery is a specific area of pet care involving the treatment of an animal’s eyes. For certain breeds, this service also involves examining and certifying breeding dogs to verify their eyes are in good condition.
Eye examinations require specific equipment, such as an ophthalmoscope (a magnifying light to look into the eye). Our veterinarians may also use a special dye called fluorescein (it glows a green/yellow colour under a UV light) to identify damage to the cornea (the clear layer at the front of the eye). Many eye conditions can be treated medically. However, specific conditions may require surgery.
Our practice is fully equipped to offer the following eye surgeries:
- Enucleation (removal) of the eye for severe glaucoma or cancer cases
- Entropion surgery to prevent ocular damage from inward-pointing eyelashes/eyelids
- Ectropion surgery to correct outward-facing lower eyelids
- Eyelid tumour removal
- Cherry eye surgery to correct a protruding third eyelid in dogs
- Surgery to repair corneal ulcers (ulcers on the eye surface)
Our veterinarians can also refer your pet to a specialist veterinary ophthalmologist that visits our clinic four times a year for specialised procedures such as eye ultrasound, vision testing or cataract removal.
After Hours Service
We provide you and your pets with an after-hours emergency service for critical illness or injury. We hope your pet never needs us for an emergency; however, common emergencies relate to car accidents, heart conditions, poisoning and a range of injuries.
Upon arrival, your pet will be assessed by one of our veterinarians. We will aim to provide an estimate of the costs involved with your case; however, please be aware that with emergency procedures, costs can vary depending on what services and treatments are required. Our veterinarians will keep you updated regularly during the course of your pet's stay in hospital.
Please contact us to discuss our after-hours arrangement; it’s always nice to know this information before you actually need it.
For any emergencies, please call
(07) 4057 6033, and a recording will direct you to the after hours vet.









